关注我们
公司简介
联系我们
新闻资讯
会员专区
注册会员
找回/修改密码
会员中心
服务支持
在线投稿
样书申请
资源下载
智汇云端官微
在线客服
QQ:1017641350
工作日: 08:30-17:30
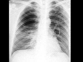
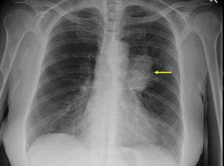
影像检查胸部X线检查可以了解肺癌的部位和大小,可看到由于支气管阻塞引起的局部肺气肿、肺不张或病灶邻近部位的浸润性病变或肺部炎变。
中央型肺癌
周围型肺癌